おちデンタルクリニック長久手
WEB予約 公式ホームページ

こんにちは♡

こんにちは♡

2025/12/19

こんにちは♡
おちデンタルクリニック長久手です🦷♡

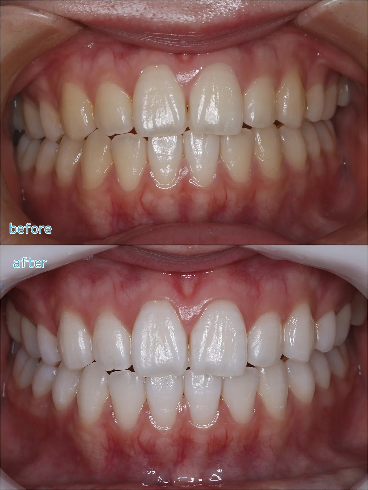
ホワイトニングの紹介になります☆
3~6ヶ月検診と一緒にホワイトニングを計5回受けた方になります

定期的に検診と一緒にホワイトニングも受けるととても綺麗になります✨

気になる方はスタッフまで🍀

#おちデンタルクリニック
#長久手イオン
#オフィスホワイトニング
#ホームホワイトニング
#審美歯科


当店でご利用いただける電子決済のご案内

下記よりお選びいただけます。