タグ『#歯周病』のページ一覧
患者様がリラックスして治療を受けられるアットホームな雰囲気を大切にして長久手市周辺で診療しております。熟練の経験を持つスタッフが、患者様の不安をやわらげられるよう、温かみのある接客を心掛けております。歯周病や虫歯など、患者様が抱えるお口のお悩みを全力でサポートいたしますので、安心してご来院ください。
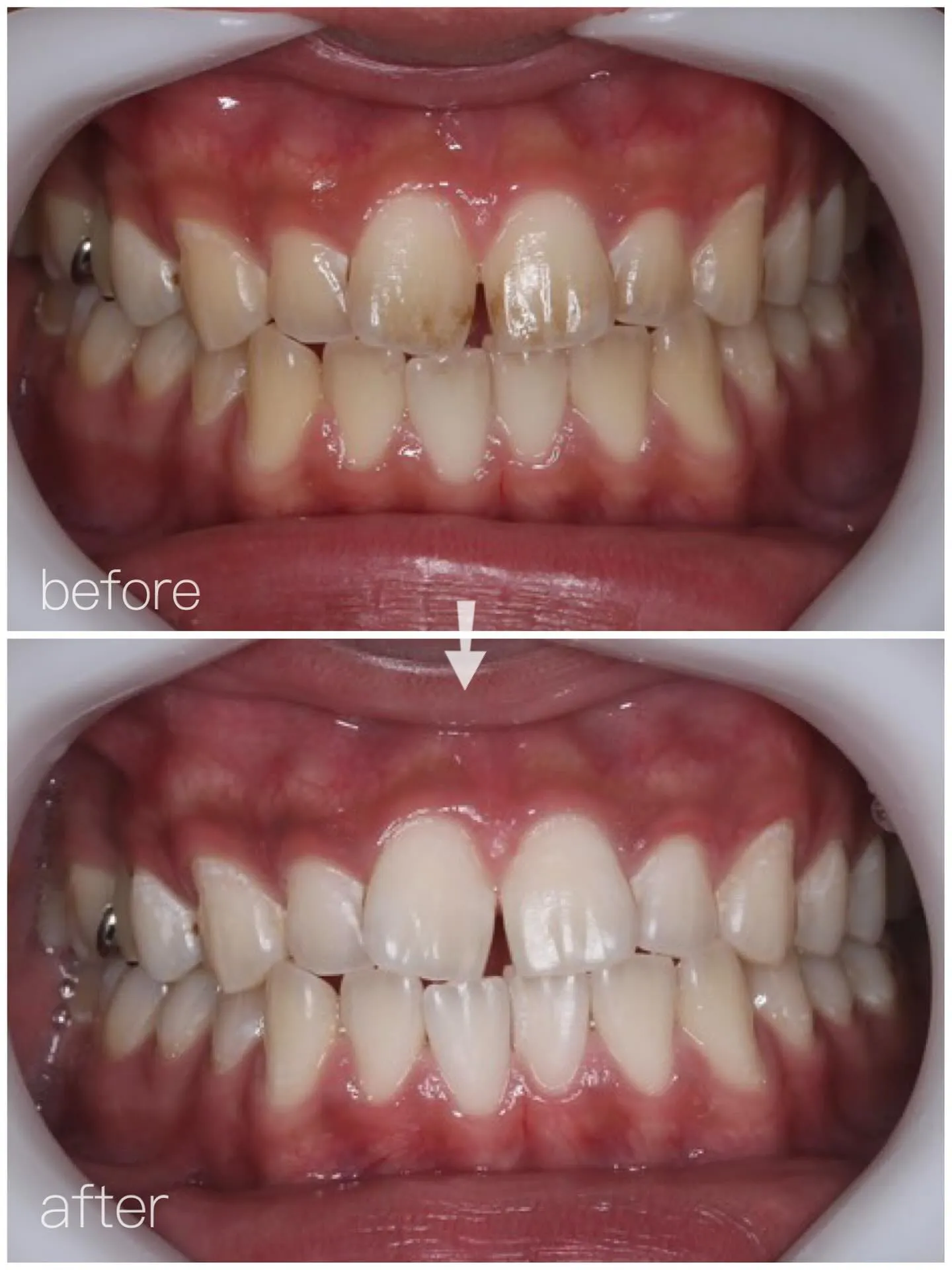
成人の口腔内におけるお悩みの主な原因の一つである歯周病は、治療をしないまま放置すると歯を失う原因にもなり得ます。当歯科では、お口の健康をサポートできるよう、患者様がご自宅でできる習慣づくりも長久手市周辺でご提案いたします。