おちデンタルクリニック長久手
WEB予約 公式ホームページ

こんにちは🌼 

こんにちは🌼 

2026/02/10

こんにちは🌼 
おちデンタルクリニックです✨

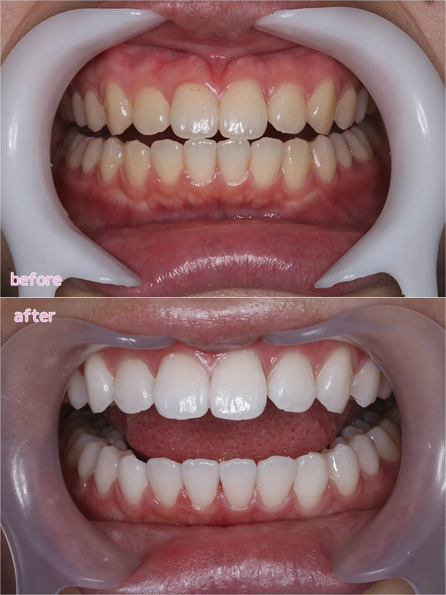
ホワイトニングのご紹介をさせて頂きます🦷

オフィスホワイトニング3回コース+ホームホワイトニングをされた方です♡
とても綺麗に白くなりました♡
患者様にも喜んでいただけて嬉しいです😊

詳しい内容はスタッフまで💕

#おちデンタルクリニック
#長久手イオン
#オフィスホワイトニング
#ホームホワイトニング
#審美歯科


当店でご利用いただける電子決済のご案内

下記よりお選びいただけます。