こんにちは☆おちデンタルクリニック長久手です💛
2026/04/10
こんにちは☆おちデンタルクリニック長久手です💛
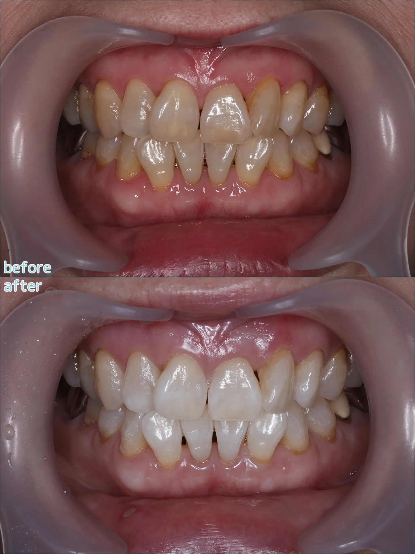
ホワイトニングされた方のご紹介です🦷
デュアルホワイトニングをされた方になります☺️✨
デュアルホワイトニングとは、オフィスホワイトニングとホームホワイトニングを合わせたコースになります🦷🍃
とっても綺麗になられました☆彡
詳しくはスタッフまで🩵
#オフィスホワイトニング
#ホームホワイトニング
#デュアルホワイトニング
#ブルーラジカル
#ブルーラジカル導入医院

