こんにちは☀️おちデンタルクリニックです🦷
2026/04/30
こんにちは☀️おちデンタルクリニックです🦷
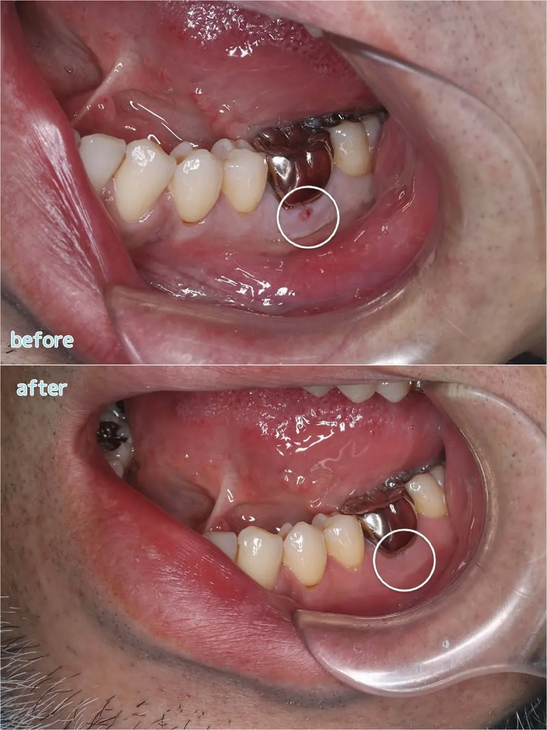
本日はブルーラジカルを受けた患者様の症例になります🦷🪥
こちらの患者様は、beforeのお写真には写っているニキビのようなもの(フィステル)が歯肉にあります。こちらは歯の中のバイ菌が外に逃げる為の出口で、歯の根の先に炎症が起こっていると出来るものになります🪥
元々歯周ポケットも7ミリあり、歯肉から膿もでていました。
ブルーラジカルを一回受けられて、afterのお写真に写っている様にニキビの用な出来物はなくなり 歯肉の腫れや膿の排出もなくなりかなり改善されました🫧
歯周ポケットも7ミリから4ミリまで改善されました✨
ブルーラジカル 日々のブラッシングで歯周病かなり改善が期待されるので気になる方は是非スタッフまで🤍
#ブルーラジカル
#歯周病
#ブルーラジカル導入医院
#ホワイトニング
#インビザラインライン

